
工程带征个人所得税会计处理
446x298 - 10KB - JPEG

上海个人所得税带征条件?上海个人所得税带征
563x366 - 29KB - JPEG

怎样上海所得税带征?上海所得税带征资料_周
200x153 - 13KB - JPEG
图片新闻:解放区南水北调城区绿化带征迁力度
1936x1288 - 2056KB - JPEG

岛带征_360百科
270x351 - 23KB - JPEG

所得税带征需要哪些资料,所得税带征的详细流
200x136 - 9KB - JPEG
个人分包项目怎么交所得税?
640x389 - 34KB - JPEG
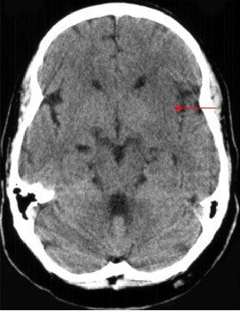
急诊头颅CT:一定要会认岛带征?-提供留学,移
385x507 - 24KB - JPEG

个人所得税带征情况_周边服务栏目_jdzj.com
200x129 - 5KB - JPEG

图片 民国《随粮带征地方附加捐款收据征收田
666x500 - 58KB - JPEG

范增人物画【带征书】 - 中华古玩网 - 古董收藏
506x900 - 46KB - JPEG

范增人物画【带征书】 - 中华古玩网 - 古董收藏
506x900 - 52KB - JPEG

07年旗云80升天然气带征,车好没大伤-大庆旗云
500x375 - 33KB - JPEG

07年旗云80升天然气带征,车好没大伤-大庆旗云
500x375 - 32KB - JPEG

07年旗云80升天然气带征,车好没大伤-大庆旗云
500x375 - 33KB - JPEG
我公司现在的所得税是按18%算的,根据关于印发《企业所得税核定征收办法》(试行)的通知(国税发〔2008〕30
在线互动式文档分享平台,在这里,您可以和千万网友分享自己手中的文档,全文阅读其他用户的文档,同时,也
带征税是税收征收方式的一种,一般适用于所得税税种,如企业所得税和个人所得税。与之对应的为查帐征收。
请问带征企业所得税税率是怎么确定的?标准是全市统一的吗?我公司主要提供技术咨询服务的,请问我公司可以
2016年企业所得税税率表一览,2016年企业所得税税率表一览 企业所得税简介 企业所得税是对我国内资企业和
序号 税目 税率 1 企业所得税税率 25%2 符合条件的小型微利企业(应纳税所得额减按50%)20%
企业所得税是对我国内资企业和经营单位的生产经营所得和其他所得征收的一种税。纳税人范围比公司所得税大。
下面是YJBYS小编整理的2017年企业所得税税率,欢迎参考!2017年最新企业核定:(不含税收入*核定率)*税率