粟粒性肺结核

粟粒性肺结核相关图片

影像科医生揭秘:那些你知道和不知道的结核!
405x297 - 9KB - JPEG

医学影像入门必读:如何阅读胸部平片?--分
600x800 - 98KB - JPEG

放射科医生来教你如何开单子啦
984x885 - 97KB - JPEG

多发结节的HRCT鉴别诊断攻略,一文读懂!
396x589 - 29KB - JPEG

肺结节单发与多发,哪种危害大?
563x354 - 31KB - JPEG

急性粟粒性肺结核
510x201 - 20KB - JPEG

粟粒性肺结核。在黑色背景上的矢量图
700x700 - 36KB - JPEG

急性粟粒性肺结核
524x207 - 17KB - JPEG

急性粟粒性肺结核
541x207 - 17KB - JPEG

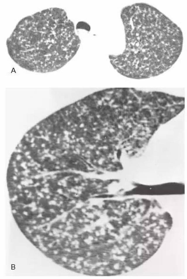
【图】粟粒性肺结核ct表现大全解 及时治疗
524x400 - 35KB - JPEG

急性粟粒性肺结核
513x201 - 20KB - JPEG

血行播散性肺结核的影像表现及鉴别诊断|
640x480 - 42KB - JPEG

X-射线的光。结核的诊断。对孤立背景矢量图
300x300 - 24KB - JPEG

播散性肺结核与ARDS:一种罕见的关联
553x215 - 27KB - JPEG

家长了解小儿肺结核的症状吗?千万不要
640x403 - 29KB - JPEG

粟粒性肺结核相关问答

暂无相关问答

大家都在看

相关专题