牙齿缝隙大_牙缝变大怎么办

牙齿缝隙大相关图片

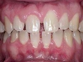
牙齿缝隙大是什么原因
600x375 - 40KB - JPEG

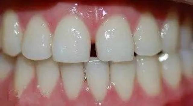
牙齿缝隙大有什么影响
243x219 - 66KB - JPEG

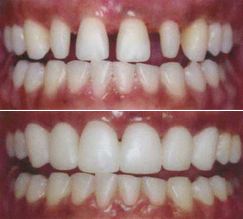
牙齿缝隙大怎么矫正?美加告诉你
400x360 - 75KB - JPEG

牙齿缝隙里很臭有妙招刷完牙牙缝里还是臭
500x319 - 10KB - JPEG

牙齿缝隙大有什么危害
268x201 - 10KB - JPEG

5个方法解决牙齿缝隙大
360x210 - 8KB - JPEG

宝宝上牙齿缝隙太宽以后会长好吗
2048x2730 - 305KB - JPEG

很早就想矫正牙齿了,门牙缝隙有点大每次
500x667 - 36KB - JPEG

很早就想矫正牙齿了,门牙缝隙有点大每次
500x667 - 37KB - JPEG

牙齿缝隙越来越大怎么办?「这种情况」
800x417 - 53KB - JPEG

牙齿缝隙大怎么办
500x300 - 312KB - PNG

牙齿缝隙大
270x203 - 9KB - JPEG

牙齿缝隙大漏财怎么破?
412x227 - 9KB - JPEG

小孩牙齿缝隙大原因
500x323 - 22KB - JPEG

关闭牙齿缝隙
604x966 - 569KB - PNG

牙齿缝隙大相关问答

简介:牙齿缝隙大是因为发育不好或后天牙损害造成的牙间大缝隙,牙的缝隙过大,会直接影响到面部的美观,而且

牙缝隙大怎么办
答: 6、保持心情愉快,对于牙齿的恢复也是有好处的。 7、孕妇、哺乳期,月经期的女性,建议避免做此类手术,以免出现不良情况。 牙缝隙大需要牙齿矫正手术来改善,但是能够改变
牙齿缝隙大怎么办
答:牙缝过大比较常见的方法是戴矫正牙套,可以通过不用开刀做手术的方式来解决牙齿缝隙大的问题,虽然会有一定的恢复期,但是可以有效的改善牙齿问题,而且此项技术没有创口
牙齿缝隙大
答:牙齿缝隙大常见以下几种情况:1、牙齿替换后缝隙变大,因牙齿数目变少或牙体宽度变小而致;2、年轻时牙齿排列整齐无间隙者,发生牙周病等情况,牙齿间易形成缝隙,且越来越大
牙齿缝隙大
答:你好,我给你的建议是做正畸。如果你做了前面两颗烤瓷牙,现在看上去好看如果以后变形了怎么办?而且要磨你的牙齿。对于您这种关间隙的病例正畸时间不长。但是后期佩戴
牙缝隙大怎么修复
答: 以上就是关于牙齿缝隙大的一些修复方法,如果求美者想要进行牙齿修复手术时,尽量选择正规的医疗机构,因为那里的口腔医生比较有专业,可以根据求美者的牙齿情况选择合适
牙齿缝隙大怎么解决?
答:比如牙龈乳头炎及龋齿。那么,牙齿缝隙大怎么办?       牙齿缝隙大怎么办?      舌侧隐形矫正:    矫正器全部隐于牙齿内
牙齿缝隙大怎么办 该如何进行修复
答:一些药物,也会增加牙龈退缩的风险。 建议:首先保护好牙齿,补充多种维生素,正确的刷牙姿势,上下刷,不要左右刷,保护好牙龈。使用牙签时轻轻将异物挖出,如果缝隙非常大,可到
为什么我的牙齿缝隙越来越大了?
答:牙缝就会越来越大。 导致牙缝越来越大的原因,如牙齿长期嵌塞食物。食物嵌入牙间隙,压迫牙龈组织,可发生牙龈乳头的坏死,进而加大牙缝。嵌食的原因可以是牙齿龋坏引起
牙缝隙大怎么办
答: 正畸,建议去正规口腔医院。是能得到改善的。
牙齿缝隙大可以矫正吗
答:爱美者都对自己的牙齿问题比较注重,因为拥有一口整齐的牙齿可以给他人留下一个很好的印象,因此生活当中有一些牙齿缝隙大的爱美之人便选择去做牙齿矫正技术。一般牙齿

大家都在看

相关专题