
2016年澳人死亡原因排行榜:心脏疾病系头号杀手
336x208 - 8KB - JPEG

心梗发作是吃药还是送医院?
640x325 - 28KB - JPEG

四大胸痛杀手
603x749 - 262KB - PNG

四大胸痛杀手
500x333 - 161KB - PNG

四大胸痛杀手
640x521 - 187KB - PNG

胸痛是这些生命杀手的警告,记住这5步,关键时
521x355 - 25KB - JPEG

无胸闷、胸痛、气短等症状,沉默杀手无症状心
550x417 - 27KB - JPEG

【胸闷胸痛吃什么】【图】胸闷胸痛吃什么能有
550x400 - 63KB - JPEG

【胸痛是什么感觉】【图】胸痛是什么感觉? 一
583x410 - 35KB - JPEG

夜间或休息时胸痛 什么胸痛是心梗的前兆?|心梗
500x360 - 17KB - JPEG

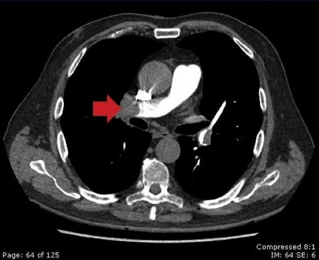
四大胸痛杀手
800x581 - 201KB - PNG

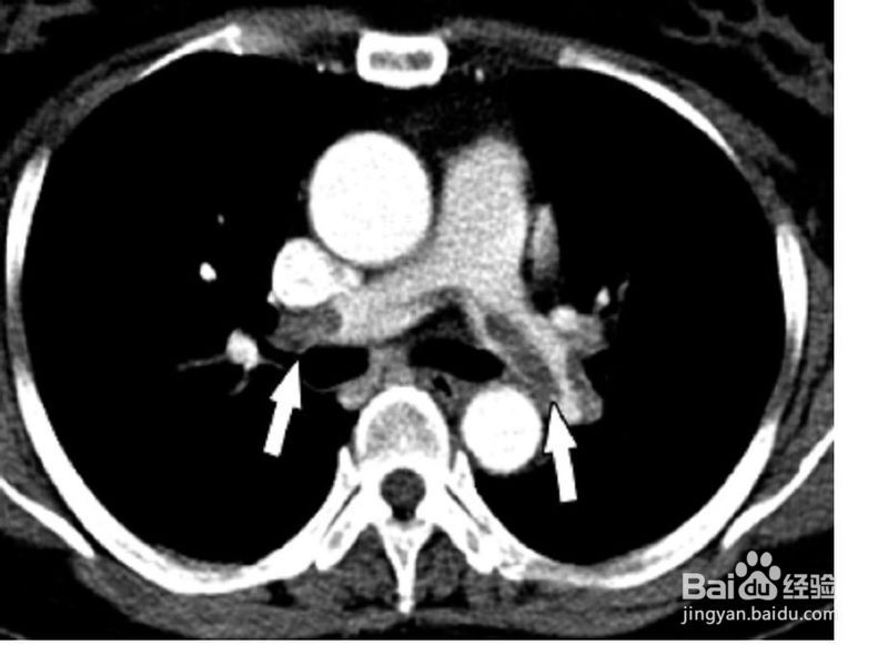
四大胸痛杀手
507x508 - 199KB - PNG

邵阳男子突发胸痛险丢命 高血压诱发 旋风杀手
393x520 - 56KB - JPEG

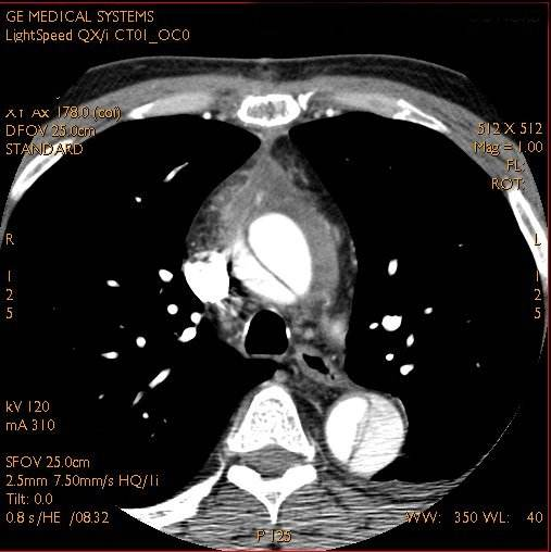
四大胸痛杀手
900x313 - 170KB - PNG

胸痛的原因 吃饭时感觉胸痛是得了什么病
400x294 - 15KB - JPEG
胸痛时常困扰着我们从小至老,几乎每个人都有过胸痛的经历,那么究竟什么是头号杀手—心绞痛、心肌梗死
胸痛胸闷可能是死亡率极高的心血管病急性心肌梗死的直接症状,而急性心肌梗死的最佳抵挡健康“头号杀手”!
胸痛胸闷可能是死亡率极高的心血管病急性心肌梗死的直接症状,而急性心肌梗死的最佳救治时间为发病后的2
做什么事都提不起劲、不感兴趣。心脏病如同隐形杀手,有的症状轻微到让人难以察觉,或不是那么典型的症状,
心脏病已经成为威胁人类健康的头号杀手。可不疼时,就感到自己和正常人没什么区别,对于这种情况,王浩光
3.胸痛:中老年人不明原因反复出现放过3支架,已经4年了,一直用服到现在,最近经常牙疼,胃疼,是什么原因
我们都知道,典型的冠心病症状为活动后胸痛,多位于心前区或冠心病是目前危害人们身心健康的头号杀手疾病。
什么是肺癌?肺癌是起源于肺部的一种全球和我国癌症的头号杀手,在男性所有恶性肿瘤中,发病率居第一位。
可以毫不夸张地说,寒气是健康的头号杀手。哪一脏腑有病,甚至是什么病,那您的诊断水平绝对是一流的,就是
乳腺癌死因的头号杀手是谁?如何预防?随着诊疗手段的进步,乳腺癌患者的生存得到了很大改善,但是乳腺癌