不会传染的,肺支气管扩张症可发生于任何年龄,症状可能在若干年之后才出现.症状的严重度和特点因人而异,即使同一病人,其表现亦可随时间不同而不同,很大程度上取决于病变
肺支气管扩张严重吗 气管扩张是指由于支气管及其周围组织的慢性炎症和气道阻塞,导致支气管的组织结构受到较严重的病理性破坏,引起管腔扩张和变形的支气管慢性疾病。如
你好,肺支气管扩张指的是肺部由于发生炎症,真菌感染导致的肺囊肿和肺纤维化等疾病。引起肺支气管扩张的原因主要有以下几点: 一,经常抽烟,或者在空气质量差的环境中工作
支气管扩张是一种常见的慢性支气管疾病。其基本病变是由于支气管及其周围肺组织的慢性炎症,使支气管管壁损坏变形和持久的扩张。本病多发生于青年和儿童,男性多于女性,可以由多种原因引起。 1、病因 (1)支气管感染和阻塞:支气管、肺脏的反复感染,支气管阻塞,导致支气管管壁损坏,变形和扩张。左下叶及右中叶多见。因左下叶支气管细长,受心血管的压迫,易致引流不畅和继发感染之故,右中叶周围有淋巴结颁,也易引流不畅,引起支气管扩张。 (2)肺纤维收缩和胸膜粘连,使已受病变侵袭受损的支气管管壁被牵拉而发
众所周知,支气管扩张是比较具备危害的疾病。而且一些在流感后有出现肺炎病史的人,其实比较容易会有支气管扩张的问题,而且如果病人以前是罹患有肺结核的问题的时候,那
您好,肺支气管扩张是支气管肺组织感染和支气管阻塞,两者相互影响,促使支气管扩张的发生和发展。一般要控制感染,戒烟,避免着凉,加强营养,纠正贫血,增强体质,预防呼吸道感染,必要时手术。
简介:支气管扩张(简称支扩)是指支气管持久性扩张并伴有支气管壁的破坏。是胸外科现在处理的最常见呼吸道慢性化脓
你好,患了支气管扩张一般可吃中药百花膏来治疗的.款冬花 百合(蒸,焙)各等分.共为细末,炼蜜为丸,如龙眼大.每服1丸,食后,临卧细嚼,姜汁咽下或噙化.

支气管扩张合并肺畸胎瘤1例
479x402 - 240KB - JPEG

CT 区分支气管扩张的原因_CT_支气管扩张
316x231 - 67KB - PNG

慢性阻塞性气道疾病诊断与鉴别诊断(上)
558x445 - 78KB - PNG

支气管扩张
377x338 - 184KB - PNG

肺部常见疾病科普丛书--支气管扩张
200x200 - 7KB - JPEG

支气管扩张
464x315 - 215KB - PNG

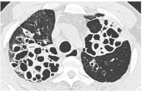
CT 区分支气管扩张的原因
293x187 - 58KB - PNG

肺结核是支气管扩张之母,常狭窄和扩张并存,医
640x578 - 49KB - JPEG

多层螺旋CT在慢性阻塞性肺气肿合并支气管扩
1528x1918 - 1590KB - PNG

肺部常见疾病科普丛书:支气管扩张\/褚海青\/同济
450x776 - 79KB - JPEG

更多保健产品_肺心病支气管扩张专柜正品美国
250x250 - 23KB - JPEG

CT 区分支气管扩张的原因
593x341 - 153KB - PNG

肺支气管扩张,总标本。支气管扩张是一种疾病
1280x881 - 310KB - JPEG

微波消融联合放射粒子植入治疗中央型肺癌
457x610 - 28KB - JPEG

Reiff评分对慢性阻塞性肺疾病合并支气管扩张症
993x1404 - 112KB - PNG