细胞坏死,长期以来细胞坏死被认为是因病理而产生的被动死亡,如物理性或化学性的损害因子及缺氧与营养不良
凋亡和坏死检测方法很多,我们实验室在 PI 和 Hoechest 染色细胞计数、流式细胞仪以及 Ladder 电泳等方面有
这两个指标主要反应的肝细胞损害的程度,如果这两个值越高,就说明肝细胞提到检查肝脏,大家脑海中的第一
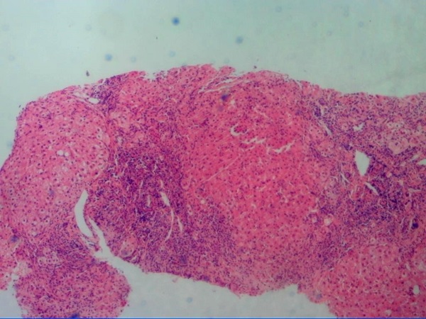
肝细胞坏死的指标经实验室检查从:可以从肝功,肝纤谱,肝脏超声,CT,病理检查上反映.
呵呵,细胞坏死的指标根据器官部位的不同而有所不同,你为什么不说的更利用流式细胞仪或荧光显微镜可检测
本专题涉及 坏死 的标准有 28 条。221-2010 鱼传染性造血器官坏死病毒的免疫细胞培养和鉴定的隔离.NF U47-
分析测试百科网的检测细胞坏死的方式专题。2018-12-29 16:44:08 检测细胞坏死的方式的热门新闻
肝细胞坏死检查 近年证实,维生素A有延缓或阻止前病变,防止化学性致癌物作用,特别是防止上皮恶性肿瘤的
肝细胞坏死的检查有哪些?有问必答网肝细胞坏死症状查询频道为您解答肝细胞坏死的检查方面的知识,肝坏死是
请问,我血清检查其中“肿瘤坏死因子TNF指标为9.68,高于正, 问题分析:肿瘤标志物稍高于正常值,B超见

乙肝携带者怎么成了肝硬化?
600x450 - 100KB - JPEG

一文搞定急性胰腺炎分级与诊断_急性胰腺炎_
689x321 - 34KB - PNG
一问一答快速掌握基层心肌肌钙蛋白检测应用专
965x667 - 38KB - JPEG

肝纤维化检测指标有哪些
277x220 - 9KB - JPEG
.png)
外周血单个核细胞功能检测对急性再生障碍性贫
490x358 - 13KB - PNG

小鼠肿瘤坏死因子α(TNF-α)ELISA试剂盒说明
600x380 - 19KB - JPEG

cho抗凋亡,cho细胞,cho指标,图片,视频,资料 - 纱
921x614 - 804KB - PNG

科熏洗方对类风湿性关节炎患者血清肿瘤坏死因
1430x2066 - 1319KB - PNG

肝炎变肝癌,临床1指标会逐渐升高,喝1种食物水
640x253 - 19KB - JPEG

虚证的临床研究--慢性肾炎患者血清肿瘤坏死因
800x1251 - 74KB - PNG

氢气治疗股骨头坏死的研究_第1页_我要健康生
800x533 - 98KB - JPEG

心脏标志物床旁检测现状及展望 - 科室管理 - 中
410x535 - 38KB - JPEG

造血干细胞移植相关与研究.doc
993x1404 - 74KB - PNG

肝生化检查及功能化验指标及其临床意义解析.
141x200 - 5KB - JPEG

究内毒素血症时致炎和抗炎反应部分免疫指标的
800x1132 - 18KB - PNG