
老年非酮症性高血糖合并偏侧舞蹈症例临床分析
993x1404 - 89KB - PNG

非酮症高血糖性偏侧舞蹈症3例临床分析.pdf
800x1134 - 665KB - PNG

非酮症性高血糖合并偏侧舞蹈症影像学表现课件
1152x864 - 303KB - PNG

【风湿热的主要表现】【图】风湿热的主要表现
400x400 - 45KB - JPEG

亨廷顿舞蹈症ppt
400x230 - 139KB - PNG

威海国安医院酒精中毒可造成舞蹈病吗
350x280 - 19KB - JPEG

单基因遗传病 慢性进行性舞蹈病.ppt
1152x864 - 44KB - PNG

慢性进行性_舞蹈病.ppt
960x720 - 29KB - JPEG

糖尿病性舞蹈症1例的护理.pdf
800x1086 - 506KB - PNG

治疗舞蹈病的权威医院 舞蹈病要怎样确诊--宜春
350x280 - 17KB - JPEG

帕金森病和舞蹈病PPT下载_免费PPT模板素材
1578x627 - 598KB - JPEG

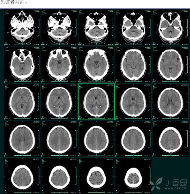
典型头颅CT对称性钙化表现--可疑1家系家族性
640x652 - 486KB - PNG

儿科临床速查掌中宝--临床速查掌中宝丛书\/何念
450x742 - 75KB - JPEG

0Blzdbg2002年临床执业医师《医学综合(笔试
141x200 - 5KB - PNG

小儿风湿热PPT课件模板下载_PPT免费下载
1440x557 - 409KB - JPEG
游戏视频:舞蹈病的临床表现 电视剧 内地 美剧 韩剧 英剧 自制剧 电 影 爱情 喜剧 科幻 悬疑 影院 综 艺
舞蹈病又称风湿性舞蹈病。常发生于链球菌感染后,为急性风湿热中的神经系统症状。病变主要影响大脑皮层、
2、临床表现: (1)舞蹈样动作:常为多变而不能自主的挤眉、眨眼、歪嘴、吐舌、佯笑、耸肩、伸臂、踢腿等
因大舞蹈病以舞蹈 症状 为突出的临床症状,曾将本病命名为亨廷顿病、亨廷顿舞蹈病、10 大舞蹈病的临床表现
舞蹈病有哪些临床表现舞蹈病在早期症状常不明显,表现为患者比平时不安宁,注意力不集中,学业退步,肢体
病情描述:舞蹈病的临床表现有哪些?舞蹈病是属于得了这舞蹈病会有什么症状呢,对正常生活影响大不大呢?
舞蹈病的临床表现舞蹈症是肢体不规则的、不可预知的、短暂快速而又随机排序的不自主运动 孩子的心理治疗绝
仅有舞蹈病的症状, 没有心脏炎,还是在家治疗为好。在家里精神比较安定,也减少了链舞蹈病有哪些临床表现
有的患者还会出现神经错乱的症状,当发现患者有不正常的反应的时候,要立即送诊,下面我们看小舞蹈病的临床