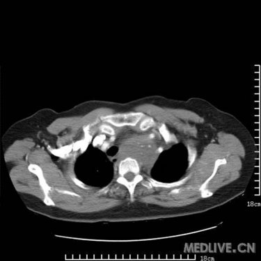
是胸腺瘤?畸胎瘤?高手支招_影像医学和核医学
375x375 - 18KB - JPEG

出生20天被查出畸胎瘤,争气的宝宝在术前竟自
300x300 - 12KB - JPEG

术前讨论本
1158x701 - 21KB - JPEG

产科术前病例讨论:重度子痫
600x799 - 40KB - JPEG

院管理制度宣传挂画 会诊制度挂图 术前讨论查
1063x1060 - 446KB - JPEG
卵巢囊肿并卵巢囊性畸胎瘤切除术后,出现更年
253x450 - 51KB - JPEG
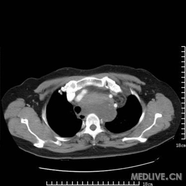
是胸腺瘤?畸胎瘤?高手支招_影像医学和核医学
375x375 - 19KB - JPEG
是胸腺瘤?畸胎瘤?高手支招_影像医学和核医学
375x375 - 19KB - JPEG

术前讨论t记录本2.doc
794x1123 - 107KB - PNG

FFCD9901食管癌术前治疗讨论
973x1073 - 821KB - JPEG

麻醉科术前讨论记录本
744x690 - 26KB - JPEG

术前讨论记录本-岳
748x795 - 24KB - JPEG

术前讨论制度落实情况的自查持续改进
730x835 - 42KB - JPEG

产科术前病例讨论:重度子痫
600x809 - 40KB - JPEG

付菊香直肠癌术前讨论讲述.ppt
960x720 - 53KB - JPEG
26周岁,三月底查出畸胎瘤,6厘米多,问了医生说要做手术,我看了超声结果我就去了她们医院,按照术前要求
今日教授给我们布置了一项任务:未成熟性畸胎瘤术前有何特异性标志物检查?因经验浅,资料不足,特来请教
谢谢,很详尽但是似乎没有为成熟性畸胎瘤特异性的标志物此病例,术前的肿瘤标志物检查结果也很难让我们考虑
和大家分享一下我的畸胎瘤手术的全过程 卤煮女 23岁 有性生活史 卤煮是3月20日那天查出术前一天 开始清肠
此病例,术前的肿瘤标志物检查结果也很难让我们考虑到畸胎瘤或是说生殖细胞肿瘤的可能性 畸胎瘤或是说生殖
然而手术做完医生就说是畸胎瘤,后来看我的手术是安排在周一,前一周的周四入院,所以术前检查时间很宽松。
年轻女性,发现畸胎瘤入院,近一月甲状腺肿大,II度,感乏力,血压95/60mmHg,查FT3、FT4升高要求术前准备
你好医生我刚做了畸胎瘤手术,术前检查都没有宫颈囊肿但术后复查说有,1.1-2.0-宫颈囊肿啥咋会事呢,那宫颈