
老皮戈壁石 戈壁玛牙石 121 - 中华古玩网 - 古董
1024x888 - 127KB - JPEG

【怎么让牙结石脱落】【图】怎么让牙结石脱落
533x400 - 39KB - JPEG

牙结石脱落小妙招 这样去除比较好(2)
400x294 - 13KB - JPEG

【怎么让牙结石脱落】【图】怎么让牙结石脱落
533x400 - 41KB - JPEG

不用洗牙啦~牙结石时间久了自己也会掉下来-北
640x480 - 35KB - JPEG

牙结石会不会自己脱落 别想投机取巧
388x333 - 14KB - JPEG

牙结石长期附着在牙齿表面会导致牙周发炎,需
500x318 - 31KB - JPEG

大块牙结石快要脱落,为什么牙齿也松动了?
567x424 - 21KB - JPEG

牙结石会自动脱落吗?自己在家怎么去除牙结石
690x428 - 490KB - PNG

牙结石会不会自己脱落 别想投机取巧
500x336 - 23KB - JPEG

明明牙结石要脱落了,怎么感觉牙齿摇摇欲坠?
600x391 - 19KB - JPEG

牙结石脱落小妙招 这样去除比较好
400x294 - 20KB - JPEG

洗牙和牙周刮治的区别在哪里?-北京时间
582x210 - 23KB - JPEG

如何正确有效的防治牙结石
350x300 - 6KB - JPEG

牙结石会不会自己脱落?骚年,别天真…
450x300 - 13KB - JPEG
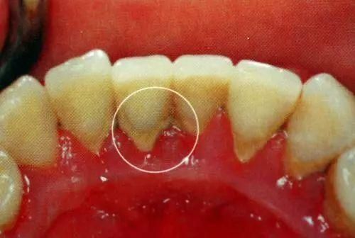
牙结石自己也能掉落吗?当然了,一般牙结石是不会轻易自行脱落的,牙结石导致的牙龈炎或者牙周炎,也还是
牙结石掉了一块怎么办?因为牙结石对我们可不怎么友好,一般不会「自行脱落」,一般的刷牙也很难清除,最后
牙结石是很多口腔疾病的万恶之源,有些人认为牙结石会自己掉落不需要治疗牙结石自动脱落是别想啦,重视起来
虽然了,一样寻常牙结石是不会等闲自行脱落的,牙结石导致的牙龈炎可能牙周炎,也仍旧不会自行消弭的,要
而且特别难闻,怪不得口臭会这么重,一大块牙结石什么时候才能掉完?正常来说,牙结石几乎不会脱落,只