
小血管大问题!脑梗死9大诊治误区
600x394 - 26KB - JPEG

介绍腔隙性脑梗死PPT下载
400x230 - 13KB - JPEG

CT对腔隙性脑梗死患者近期预后风险的评估-龙
1033x652 - 316KB - JPEG

脑小血管病与腔隙性脑梗死要点.ppt
1152x864 - 271KB - PNG

老年人腔隙性脑梗死健康百科 健客网
553x311 - 27KB - JPEG

双侧腔隙性脑梗死
300x296 - 20KB - JPEG

双侧腔隙性脑梗塞
268x471 - 27KB - JPEG

1-2个腔隙性梗死灶就可以使血管性痴呆风险增
400x400 - 27KB - JPEG

腔隙性脑梗死这个临床诊断,可以慢慢作古了
667x486 - 430KB - PNG
腔隙性脑梗塞到底是什么?
320x240 - 5KB - JPEG

左侧丘脑及脑干多发腔隙性脑梗塞
500x375 - 16KB - JPEG

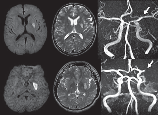
腔隙性脑梗死患者头部核磁共振影像学特点分析
970x1325 - 360KB - JPEG

头颅横断层CT基本知识与常见疾病.ppt
960x720 - 61KB - JPEG

腔隙性脑梗塞怎么治疗呢-健一资讯
214x212 - 26KB - JPEG

脑微出血对非腔隙性梗死抗栓治疗后早期出血转
320x252 - 236KB - BMP
健康咨询描述:前几天,我爷爷早上大脑深部的基底节区和脑干是许多神经纤维束走行的重要通路,是实现大脑与
腔隙性脑梗死(lacunar infarction,LI)是指大脑半球或脑干深部的小穿通动脉,在长期高血压的基础上,血管
经常有患者来询问,做了一个头颅CT,提示有腔隙性脑梗死,该怎么办?其实,很多时候CT报告的脑缺血灶、腔梗
腔隙性脑梗死 是指大脑半球或脑干深部的小穿通动脉,在长期 高血压 的基础上,血管壁发生病变,导致管腔
医学百科条目“腔隙性梗死”是一篇关于腔隙性梗死的病因、症状、病理、诊断、治疗的文章,全文分为拼音、
腔隙性脑梗死是长期高血压引起脑深部白质及脑干穿通动脉病变和闭塞,导致缺血性微梗死,缺血、坏死和液化脑