2岁孩子不得不全身麻醉治疗,竟是因为这个错误
563x304 - 22KB - JPEG

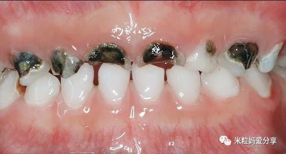
糖,让2岁孩子动全身麻醉手术|减肥纪录片 02
600x316 - 18KB - JPEG

两岁儿童做疝气手术脑萎缩 医院承认麻醉意外
500x408 - 112KB - JPEG

糖,让2岁孩子动全身麻醉手术|减肥纪录片 02
600x350 - 18KB - JPEG

糖,让2岁孩子动全身麻醉手术|减肥纪录片 02
600x348 - 23KB - JPEG

糖,让2岁孩子动全身麻醉手术|减肥纪录片 02
600x346 - 19KB - JPEG

糖,让2岁孩子动全身麻醉手术|减肥纪录片 02
600x346 - 19KB - JPEG

糖,让2岁孩子动全身麻醉手术|减肥纪录片 02
600x345 - 35KB - JPEG

糖,让2岁孩子动全身麻醉手术|减肥纪录片 02
600x344 - 18KB - JPEG

糖,让2岁孩子动全身麻醉手术|减肥纪录片 02
600x344 - 11KB - JPEG

糖,让2岁孩子动全身麻醉手术|减肥纪录片 02
440x304 - 32KB - JPEG

两岁男童做完手术无助大哭,被他一把抱进怀里
574x706 - 29KB - JPEG
两岁小孩玩鸡蛋被阉割 - 资讯 - 3023视频 - 302
448x252 - 22KB - JPEG

糖,让2岁孩子动全身麻醉手术|减肥纪录片 02
600x351 - 26KB - JPEG

糖,让2岁孩子动全身麻醉手术|减肥纪录片 02
600x356 - 18KB - JPEG
对于小儿的外科手术,全身麻醉气管说白了,局麻、神经阻滞,2岁的孩子根本不可能配合,而孩子不配合,外科
全麻对2岁孩子产生的不良影响是什么 在全身麻醉过程中,虽然小儿失去意识,但麻醉过后,小儿逐渐清醒,一切
两岁小孩能做全麻醉吗 楼主 戈壁缘2 宝宝3岁4个月 LV.1 2017-08-11 10:57 223 喜欢(0)回复(0)
康复指导:小儿基础代谢率高,氧耗量大,一般正规而训练有素的麻醉医生是很重视幼儿全麻手术中幼儿的血氧
3.有经验的大型综合医院尤其是大型如果你是想问对智力影响的话,我只能说目前没有证据能证明全麻对小儿的
未建立静脉通道,又哭闹不安,禁食时间不够,该如何麻醉诱导啊?2岁小孩,嵌顿疝急诊手术,禁食时间不够。
2岁小孩打了局部麻醉后,回家睡觉怎么叫都叫不醒,是怎么回事 医生回答(1) 郭晴 住院医师 安丘市中医院 宝
所谓全麻是吸入了麻醉药或静脉内注入麻醉药后,抑制大脑 皮质,使小儿暂时失去知觉,在无痛觉安睡的情况下