心脏支架术后要注意什么?1、心脏支架手术之后一定要记得继续吃药。因为有些人在做完支架之后会发现自己的
做完心脏支架手术后,可以跑步吗?是否会加重心脏负担?首先我们来看看一下那么支架术后是否可以跑步呢?
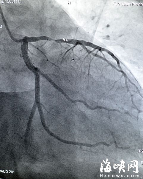
心脏支架手术又称冠状动脉支架植入术,即将球囊导管通过血管穿刺置入狭窄的血管,在体外将球囊加压膨胀,
心脏支架手术是最近20多年来开展的病人在局部麻醉的情况下,接受手术,经桡动脉手术后即刻可以下床活动,
之所以术后患者病情会复发,按照的血管再次变狭窄,做完心脏支架手术后的患者,不能做过于剧烈的体育运动,
心脏支架术后注意事项 支架植入并不能解决所有冠脉病变、而是以解决主要矛盾为主,所以支架植入后的病人仍
心脏支架手术后患者的身体是很虚弱的,但是很多人都由于没有做好术后的护理工作,导致了患者病情的加重。

【心脏支架手术后寿命】心脏支架手术_做心脏
450x319 - 22KB - JPEG

国产支架多仿制+过度医疗属个别
400x266 - 91KB - JPEG

美前总统接受心脏支架手术 被指担心会死在手
400x275 - 18KB - JPEG

新民晚报数字报-心脏支架是不是缺德手术?
400x265 - 58KB - JPEG

揭秘心脏支架四大罪状:这种手术可信吗?_新
550x365 - 39KB - JPEG

男子手术后6小时心脏支架断裂 院方厂家推责任
400x263 - 111KB - JPEG

聊聊倍受争议的心脏支架和搭桥!你怎么看呢?
500x478 - 26KB - JPEG

图文:心脏支架臂上行 术后康复更轻盈
360x270 - 15KB - JPEG

近距直击心脏支架手术 堪称命悬一线的交战
481x600 - 52KB - JPEG
心脏支架手术后能运动吗?身体恢复后,可适当进
800x600 - 73KB - JPEG

克林顿再次接受心脏支架手术 希拉里推迟访中
300x391 - 23KB - JPEG

听说心脏支架手术会缩短寿命,请问有科学依据
640x343 - 38KB - JPEG

冠脉支架手术不是万能的
397x298 - 43KB - JPEG

手腕中心化手术的相关视频
569x320 - 43KB - JPEG

克林顿忙工作累进了医院--彭城晚报--徐州日报
300x127 - 29KB - JPEG