
下列哪项不是乳腺导管内癌的病理学特点()
509x375 - 77KB - JPEG

睾丸里面有个硬东西是怎么回事
500x712 - 160KB - JPEG
(左侧睾丸)纤维化钙化结节
300x225 - 9KB - JPEG

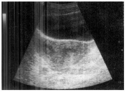
男性,34岁,超声检查睾丸内见多个低回声结节,边
234x175 - 18KB - JPEG

睾丸疼痛 睾丸疼痛是怎样引起的(2)
400x400 - 20KB - JPEG

老年男性要注重预防睾丸肿瘤!
266x220 - 7KB - JPEG

男32岁,超声示睾丸,内可探及多个结节状低回声
254x186 - 16KB - JPEG

瘤,胃癌,直肠癌,胰腺癌,肝癌,肺癌,甲状腺结节,甲
500x282 - 16KB - JPEG
【超声】非典型睾丸表皮样囊肿 & 耗竭肿瘤(B
900x616 - 55KB - JPEG

男32岁,超声示睾丸,内可探及多个结节状低回声
257x189 - 15KB - JPEG

急性附睾丸炎后的结节能靠药物消掉么
171x140 - 4KB - JPEG

常坐软沙发会损害睾丸健康_睾丸炎
451x280 - 38KB - JPEG

男性长时间坐沙发引发睾丸亚健康
320x230 - 85KB - JPEG

急性附睾丸炎后的结节能靠药物消掉么_360问
171x140 - 4KB - JPEG

男32岁,超声示睾丸,内可探及多个结节状低回声
255x190 - 15KB - JPEG
健康咨询描述:睾丸结节能消掉吗,通过你的描述,看,你患有睾丸炎,目前的结节是由于睾丸炎症刺激,以后
最近发现睾丸上有个小结节,一个多月了大小也没什么变化,有时睾丸部位感觉酸胀,还有就是阴囊潮湿,紧缩
得了疥疮,现在好了,不过阴囊、阴茎上有结节一直不消怎么办,还痒
健康咨询描述:左侧睾丸上有一结节,以上是对“睾丸上有个结节,在阴囊里面”这个问题的建议,希望对您有
展开全部 祛除疥疮结节使用芥乐宁,这是专门改善疥 疮的,很不错的。治疗时不洗澡可以保持药的 作用.其次:
请问您说的结节是阴囊上的?还是睾丸上的?多大?疼不疼?有没有红肿?董金辉医生 有可能是皮脂腺囊肿,
就是睾丸上有几个结节!痒!毕田田医生 继续用药的 患者 一抓就肿起来了 毕田田医生 恩 我建议你继续用药
我看见自己的睾丸上面居然有个硬结节的存在。 病情描述: 2016-06-27 可能相关的药品 向
睾丸上出现小结节是附在睾丸上的,睾丸动他就会动,这种结节是常见的情况是吗?我以为会是肿瘤什么的,心里